
George Happ
University of Alaska Fairbanks & University of Vermont
Photo by Christy Yuncker Happ
- Home
- Christy Yuncker Photo Journal - AlaskaSandhillCrane.com
- Alaska Sandhill Crane Blog
- Is crane dance innate or learned?
- Sandhill crane books
- Do cranes usde pheromones?
- Twin colts in 2010
- Local ecology and novelty
- Crane brains 3 - Mental maps
- Crane Brains 2 - wiring plan
- Crane Brains 1- Evolutionary origins
- Death, visitations, and dance of "solidarity"
- Alaska Crane Kindergarten
- Return to nestsite and hatch of twin coltss
- Crane parents compensate for colt's injury
- Origins of the blog
- How birds think
George M. Happ - Prostate Cancer Digest
(Diagnosis, Treatment, Monitoring)
- DRE
- PSA
- PAP
- Bone scan
- CT scan
- TRUS-guided needle biopsy (7/2/07)

- Laproscopic lymph node sampling (7/17/97).
- Certified anterior transition zone biopsy by Drs. Stamey and Rodriguez at Stanford.
- 7/25, 8/22, 9/18, 10/23 Goserelin implant.
- 7/25-9/18 Flutamide three times each day. Blasting diarrhea.
- 9/18-11/25 Calutamide one time per day. No diarrhea.
- Blood chemistry: PSA=5.6 on 8/26/97; PAP=1.3 on 8/19/97.
- Blood chemistry: PSA= <0.1 on 11/21/97. Elevated AST and ALT which returned to normal by January 20, 1998 after seed implants (below).
- 4500 cGy EBRT in 180 cGy fractions, 5/week for 5 weeks at Anchorage Radiation Therapy Center, supervised by Dr. Richard Chung.
-
87 Iodine-125 seeds (0.28 mCi/seed) as rapid strands, implanted
by Drs. Peter Grimm and James Downey at The Prostate Institute of Swedish
Medical Center, Seattle. - Blood chemistry: PSA= <0.1 on 12/10/97. Elevated AST and ALT which returned to normal by January 20, 1998.
- Blood chemistry: PSA= <0.2 and PAP 1.0 on 1/22/98.
- Blood chemistry. PSA= <0.2 on 3/38/98.
- Blood chemistry: PSA = <0.2 and PAP = 1.4 on 6/12/98.
- Blood chemistry: PSA = <0.2 on 9/20/98 (Hybritech)
- DRE by Dr. Peter Grimm, 10/1/98. "Prostate is absolutely flat."
- Blood chemistry: PSA = <0.4 on 1/5/99 (Hybritech)
- Blood chemistry: PSA = 0.287 on 1/10/99 (Immulite 3rd generation).
- Blood chemistry: PSA = 0.221 on 2/14/99 (Immulite 3rd generation).
- Blood chemistry: PSA = 0.233 on 3/14/99 (Immulite 3rd generation).
- Blood chemistry: PSA = 0.21 on 4/20/99 (Immulite 3rd generation).
- Blood chemistry: PSA = 0.188 on 6/30/99 (Immulite 3rd generation)
- Blood chemistry: PSA = 0.358 on 8/19/99 (Immulite 3rd generation)
- Blood chemistry: PSA = 0.262 on 9/19/99 (Immulite 3rd generation)
- DRE by Dr. Peter Grimm, 9/24/99. "Prostate is absolutely flat."
- Blood chemistry: PSA = 0.177 on 4/30/00 (Immulite 3rd generation)
- DRE by Dr. Peter Grimm, 8/25/00. "Prostate is completely flat."
- Blood chemistry: PSA = 0.080 on 8/25/00 (Immulite 3rd generation)
- Radiation Proctatitis: Over 1998 and 1999, I experienced considerable lower abdominal discomfort. To alleviate constipation, I took daily doses of Yerba Prima "Daily Fiber Formula" (largely psyllium). In August 2000, Dr. Grimm referred me to Dr. Steven M. Wegley in Seattle. Dr. Wegley recommended that I stop the psyllium and substitute "Citrucel" (methylcellulose) at 1 tablespoon per day. In addition, he prescribed Miralax (Propylene Glycol 3350) at 17 gm per day. The abdominal symptoms were largely alleviated.
- Blood chemistry: PSA =< 0.1 on 1/02/01 (Quest Labs, limit of sensitivity of test)
- Blood chemistry: PSA =< 0.1 on 9/02/01 (Quest Labs, limit of sensitivity of test)
- DRE by Dr. Peter Grimm, 9/10/01. "Prostate is completely flat."
- Blood chemistry: PSA =< 0.1 on 1/11/02 (Quest Labs, limit of sensitivity of test)
- Blood chemistry: PSA =< 0.1 on 8/15/02 (Quest Labs, limit of sensitivity of test)
- Blood chemistry: PSA =< 0.1 on 11/20/03 (Quest Labs, limit of sensitivity of test using Bayer chemilumiscent method)
- Blood chemistry: PSA =< 0.1 on 4/05/04 (Quest Labs, limit of sensitivity of test using Bayer chemilumiscent method)
- Blood chemistry: PSA =< 0.1 on 4/07/05 (Quest Labs, limit of sensitivity of test using Bayer chemilumiscent method)
- Colonscopy by Dr. Steven M. Wegley in Seattle on 9/20/05. Three benign polyps were removed. Mild radiation damage was noted. Next colonoscopy scheduled for 2009.
- DRE by Dr. Peter Grimm, 9/21/05. "Prostate is completely flat."
- Blood chemistry: PSA =< 0.1 on 9/21/05 (Seattle Prostate Institute)
- Blood chemistry: PSA =< 0.1 in Sept 06 (Quest Labs, limit of sensitivity of test)
- Blood chemistry: PSA =< 0.1 in Oct 07 (Quest Labs, limit of sensitivity of test)
- Blood chemistry: PSA =< 0.1 in Oct 08 (Quest Labs, limit of sensitivity of test)
- Colonscopy by Dr. Steven M. Wegley in Seattle on 10/13/08. No polyps detected. Next colonoscopy scheduled for 2013.
- DRE by Dr. Peter Grimm, 10/15/08. unremarkable
d.o.b.: May 18, 1936
Height 5"10", weight 165, no previous serious medical problems in 1997.
Height 5"10", weight 155 in 2008.
Dx: PCa firmly diagnosed on 7/10/97
. The diagostic data include the following:-
8/94 by Dr. Mark Pitcher, University of Vermont: "normal prostate
exam"
6/16/97 by Dr. George Jelinek, Fairbanks, AK: "The prostate itself is 2+, enlarged, on the right side, certainly not impressive for significantly elevated PSA".
7/10/97 Dr. Michael Albo, UCSD: "very small, 20-gram prostate slightly asymmetrically more indurated on the left than the right"
8/6/97 Dr. Michael Carroll, Fairbanks, AK: "Prostate is absolutely normal in size, slightly firmer to palpation and more prominent on the right."
9/10/97 Dr. Thomas Stamey, Stanford : unremarkable, "we measured your prostate to be about 21 gm."
-
8/94 full physical but no PSA test was included.
4/25/97 PSA 61(blood taken at April Health Fair, results received 6/5/97);
6/09/97 PSA 66.4 (Hybritech)
7/1/97 Total PSA 74.8 (Hybritech), Free PSA 3.16 (Hybritech), 4 % free.
-
6/27/97 PAP=18 (Quest).
-
6/27/97 at Fairbanks Memorial Hospital: "No evidence of metastastic
disease".
-
6/27/97 at Fairbanks Memorial Hospital: "Unremarkable
CT scan of the abdomen and pelvis".
-
7/3/97 evaluated by Dr. Schaffner (Fairbanks Memorial Hospital):
"Atypical glands, suspicious but not diagnostic for well-differentiated adenocarcinoma".
7/9/97 evaluated by Dr. Lester Wold, Mayo Medical Laboratories: "1) left lobe - a microscopic focus of prostatic adenocarcinoma (Gleason grade 2+2) is identified occupying approximately five percent of the needle biopsy. 2) right lobe - atypical small glands suspicious but not diagnostic for
adenocarcinoma. "
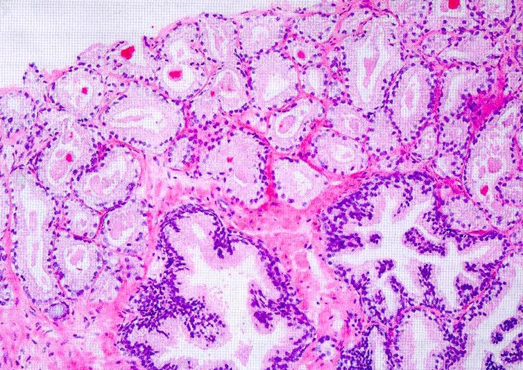
8/97 evaluation by Dr. Jonathan Oppenheimer (Oklahoma) of one of the biosy cores (taken 7/2/97 and shown to the right) indicated Gleason grade 2+2 or 2+3 and was consistent with a transition zone tumor.
9/10/97 evaluated by Drs. Thomas Stamey and John McNeal, Stanford: "one of the three biopsies (15, 9, and 11 mm) from the right side had 2 mm of clear cell cancer Gleason grade 3+3".
-
7/17/97 Lymph node sampling by Drs. Michael Albo and M. Bidair, UCSD. Iintraoperative consultation, frozen section evaluation by Dr. A. Shabaik, UCSD revealed no evidence of malignancy
in two lymph nodes . Histopath
report (7/22/97) showed no evidence of malignancy in
two left nodes and four right nodes.
-
(Note: biopsied 6 weeks after the start of goserelin + flutamide).
"We obtained today six biopsies from the left side of your prostate and
six from the right dividing them into apex, mid, and bladder base."
9/23/97 evaluated by Dr. Stamey. "Left mid-TZ showed a suspicious focus 7 mm from the anterior tip of the bx, measuring <1mm, probably Gleason grade 3. Left base has an even smaller focus of similar appearing cells."
Tx rationale
The rationale for my choice of treatments is summarized in a draft letter that I prepared in 1997 for my health insurance company. The letter (found at Rationale.pdf) was not sent to the insurance company since it agreed to cover the treatment.